Cabinet dentaire du Dr APINTILIESEI
Chirurgien-Dentiste et Implantologie à
MONTIVILLIERS

17 Rue Des Megissiers - 16 rue de la République
76290 MONTIVILLIERS

Cabinet dentaire du Dr APINTILIESEI
Chirurgien-Dentiste et Implantologie à
MONTIVILLIERS

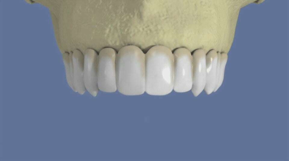
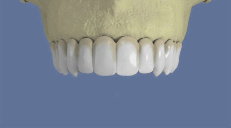
Maxillaire : bridge vissé sans fausse gencive


video-play-icon

Articles similaires

Création par Webdentiste

Connexion